Digestive System
Online Learning Platform

Gastro Study

Designed to provide comprehensive education on crucial gastrointestinal topics

+ 100 online tools

Unlimited Accesss

Collaborative space

digestive system fromgumtobum

Who is
Gastro Study for?

Whether you’re a seasoned professional seeking to stay updated or a budding gastroenterologist eager to explore new horizons, you’ll find valuable courses to enhance your understanding and skills.

Our platform seamlessly integrates

gastro study

Courses

An immersive learning experience for medical professionals, students, and enthusiasts alike

SUPPLEMENTARY

Material

Explore our collection of interest links,
recommended readings, and other websites
content to broaden your perspectives and stay at the forefront of advancements in gastroenterology.

solve the

Case Study

Male 60 yo, presented with dull aching intermittent pain in RUQ for 6 weeks. No fever or diarrhoea. Liver blood test showed ALT of 70 U/L, ALP 150 U/L, rest normal.  FBC showed neutrophilia.

Patient is retired for the last 5 years but used to own a dog rescue shelter. Drinks in excess about 25 units a week since retired. AFP and Ca 19,9 were normal. Serology for Entamoeba histolytica and Echinococcus were equivocal.

What next?

Click the image to see the answer >

Hydatid cyst type II: central cyst with daughter cyst(s). 10% can be seronegative. Key is contact with possible animal hosts (Dog or sheep), incubation period is often years.Amebiasis usually has a preceding history of diarrhoea and fecal-oral transmission. Albendazole 400 mg BD 4 weeks and given cyst is >5cm, consider PAIR therapy. Repeat serology (fluid aspiration has risk of rupture/ anaphylaxis (too risky just for diagnosis)
Untitled design 9

GI QUIZ

Test your knowledge and challenge yourself with our interactive gastroenterology quiz!

10 random questions from our question bank, different everytime

Are you up for the challenge? Click below to start the quiz now!

1 / 10

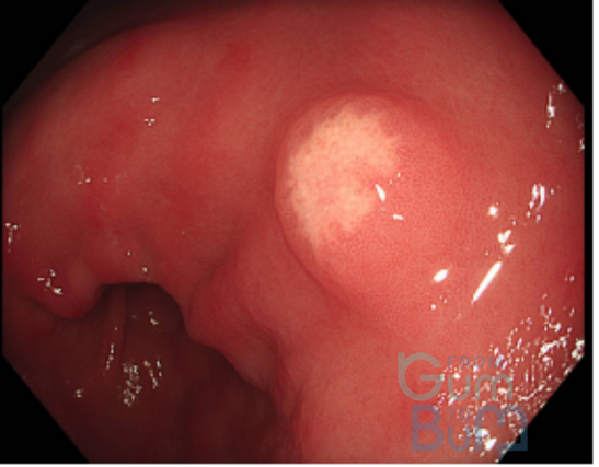
16 yo male attended with worsening RIF pain and guarding.  He reports having asthenia and weight loss over the last month.  He has not had diarrhoea.  His CRP is 110mg/l,  Hb is 10.2mgdl and white cells are 13000.
In view of suspicion of inflammatory process, a CT scan is done after a negative abdomen US for appendicitis.  CT confirms terminal ileitis confined to about 4cm of distal ileum.   Colonoscopy is performed with the attached image in the ileum, being the rest of the colonic mucosa and perianal area normal.
The CDA score is 250 (moderate)

What of the next strategies would NOT be recommended for inducing remission?

crohns TI

The incidence is variable and  depends on particular risk (the higher the fibrosis, the older the patient, persisting liver insult such as active alcohol or uncontrolled viral infection, and obesity)

Overall the risk is 1-8% , it is thought to be 2-3% per year in the US. Recent series report around 5% within1-2 years. See post

2 / 10

What is the overall yearly incidence of HCC (hepatocelullar carcinoma) in advanced chronic liver disease (ACLD)

3 / 10

Which classification can be used in Esophageal Candidiasis?

candidia

4 / 10

In standard colonoscopy , what is the expected adenoma detection rate (ADR)?

5 / 10

In regards AUDIT score

6 / 10

66  yo male patient with history of Ulcerative pancolitis, Endoscopic Mayo score 2 -moderate- and clinical Mayo score 9 (Moderate). He has required 3 courses of steroids in the last 14 months, on top of his oral 5-ASA (Mesalazine >2g daily).  Other medical history is second-degree Mobitz type II atrioventricular (AV) bloc and TIA 5 months ago.
Which biological treatment should we advice FIRST in his case?

7 / 10

Which one is FALSE

8 / 10

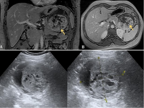
29-year-old female  long- standing abdominal pain localized to the left upper quadrant. Abdominal CT examination  well-encapsulated mixed density lesion of the pancreatic tail, with cystic central component and the peripheral hyperdense solid portion that slightly enhances on post- contrast images. US demonstrating a well-circumscribed, 70mm, encapsulated mass in the pancreatic tail, with heterogeneous mixed solid and cystic content.
EUS-FNA was performed with  low viscosity, bloody and necrotic, PAS and vimentin positive.

Which is the most likely diagnosis?

Your paragraph text 13

9 / 10

77 yo female comes with severe lower GI bleeding with haemodynamic instability that keeps bleeding and responding only partially to IV Fluids, persisting mildly hypotensive and tachicardic.

She has had a couple of similar episodes in the last year, all were suspected to be due to diverticular haemorrhage in the setting of taking Apixaban for AF but never studied.   A new CT angio suggests blood content in proximal left colon with multiple pancolonic diverticular orifices but no clear bleeding point and no other abnormalities. She is still passing some blood quantity but this has reduced.

Which next step  would NOT be recommended

10 / 10

Which Kudo pit pattern does this lesion present?

Your paragraph text 11

Your score is

The average score is 59%

0%

Gallery

Mostly endoscopy, but without missing radiology or histology.  Images that capture the real-world experience in our GI day to day

Media- Video link

Check out our video library for easy-to-follow explanations and real-life examples in gastroenterology. Whether it’s learning procedures or understanding common conditions, these videos will help make the complex stuff simple- 

 

*Click on the left upper title if you want to open in a separate window